Terapie e Casi Clinici
Terapie e casi clinici
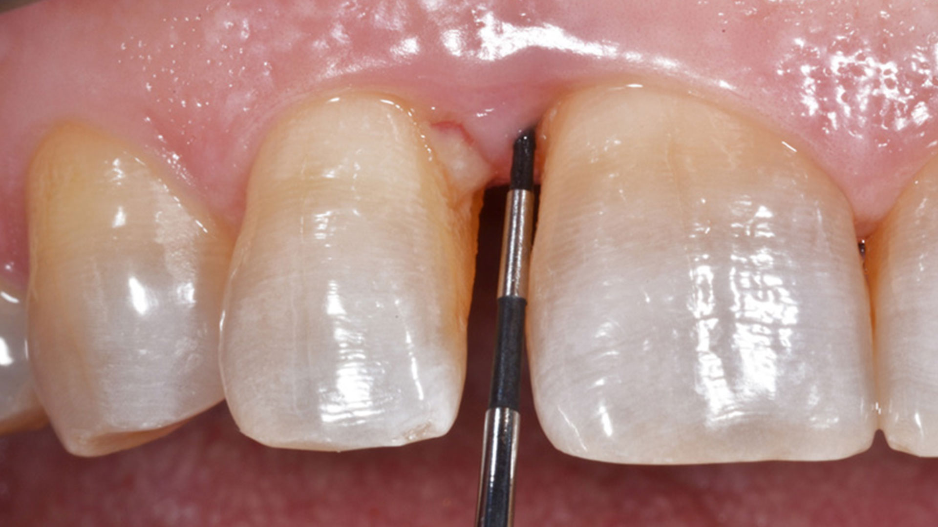
Lo studio dentistico del Dr. Divino di Ostia offre prestazioni odontoiatriche per la cura della bocca e dei denti e per migliorare la bellezza del tuo sorriso
Tutto questo comprende l’igiene orale, la conservativa , l’endodonzia, l’implantologia , la parodontologia, l’ortodonzia, la protesi, la gnatologia e la chirurgia orale. Sono disponibili l’Rx Ortopanoramica e il Telecranio e, per i soggetti ansiosi, la Sedazione cosciente. Offriamo quindi cure dentali a Roma, nello studio di Ostia Lido, con terapie medico-chirurgiche per la funzionalità del cavo orale e delle articolazioni temporo-mandibolari con lo scopo di migliorare la funzionalità e valorizzare l’estetica del tuo sorriso. Scopri le convenzioni del nostro ambulatorio per le tue cure dentali.

